Invisalign Luft Zwischen Schiene Und Zahn
Kieferorthopädie im Zahnarzt Team Luzern Wir sind seit Jahren eines der führenden Zentren für ästhetische Zahnkorrekturen in der Schweiz Unsere erfahrenen Spezialisten für Kieferorthopädie sind zertifiziert für die unsichtbare Zahnkorrektur mit Invisalign und Incognito Diese HighTechZahnspangen sind nicht sichtbar und daher besonders für Erwachsene geeignet.
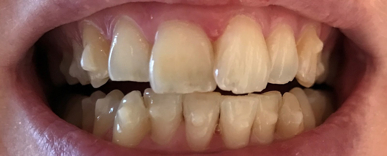
Invisalign luft zwischen schiene und zahn. Author Topic invisalign und co (Read 5776 times) Lea Guest ist doch immer etwas Speichel zwischen den Zähnen und der Schiene und auch (kleine) Ablagerungen kommen dann nicht an die Luft, sondern werden unter der Schiene konserviert, um nicht zu sagen kultiviert Ich habe da noch nie ein gutes Gefühl gehabt. Je nach Hersteller können die Kosten zwischen 3000 und 6000 Euro variieren. Wie bei anderen kieferorthopädischen Behandlungsverfahren hängen die Kosten auch bei der Invisalign Behandlung von der Komplexität Ihres Falles zur Zahnbegradigung und vom Verlauf der Behandlung ab Im Allgemeinen sind die Kosten für Erwachsene mit traditionellen festen Zahnspangen vergleichbar und liegen für gewöhnlich zwischen € 3500 und € 6500.
Ich bekomme demnächst eine Zahnspange und ich hab die Auswahl zwischen Invisalign (hab einen Überbiss 5,8 und Lücken) Kosten würden beide gleich viel (da ich schon volljährig bin über nimmt es bei meinem Fall keine Krankenkasse) Die Behandlungsdauer ist bei beiden auch gleich lang läuft Kostenvoranschlag(12 Quartale). Dabei führen Bakterien im Spalt zwischen Zahn und Kieferknochen zu einem Abbau der für die Verankerung des Zahnes zuständigen Fasern – es bilden sich die sogenannten Zahnfleischtaschen Unbehandelt werden diese im Laufe des Lebens immer tiefer und können letztlich zu Zahnlockerungen und Zahnverlust führen. Dann hilft eine Zahnkorrektur mit Invisalign® Schienen, So bewegen sich Ihre Zähne Schiene für Schiene in die gewünschte Endposition In unserer Fachpraxis für Kieferorthopädie in Kressbronn kommt das klinisch bewährte Invisalign®System zum Einsatz Hier kann die Preisspanne zwischen 3500 und 6500 Euro betragen.
Die InvisalignSchiene sitzt im gesamten hinteren/vorderen Bereich nicht auf allen oder lediglich auf einzelnen Zähnen (oft bei den seitlichen Schneidezähnen!) Nur durch festes Aufbeißen kommt die Schiene auf allen Zähnen zum Sitzen Es zeigen sich viele "Speichelblasen" zwischen Schiene und Zahn. Invisalign, iStraight, Harmonieschiene oder Clear Aligner sind nur einige Beispiel für die Vielzahl von Produkten, die auf dem Markt sind Das InvisalignSystem war eine der ersten Methoden auf dem Markt und ist gerade durch den großen Erfolg in den USA für viele Folgeprodukte ein Richtwert Wir empfehlen unsere Zahnkorrekturschiene im DentNet. Zum Essen soll die unsichtbare Schiene herausgenommen werden Da man die Schienen kaum sieht und mit ihnen gut sprechen kann, wird das permanente Tragen nicht als unangenehm gesehen Wie viel kostet eine kieferorthopädische Behandlung mit unsichtbaren Schienen?.
Invisalign hilft zudem die Zahnbewegung zu verbessern und verrichtet seine Arbeit unauffällig, still und leise Die transparenten Aligner sind herausnehmbar und unterstützen ihre Träger wo sie nur können Von der Mundhygiene bis zu den Essgewohnheiten – auf nichts müssen Sie Rücksicht nehmen InvisalignExperten. Bei leichteren Fehlstellungen sind es etwa 10 bis Aligner, bei komplexeren Zahnbewegungen (zum Beispiel nach Zahnextraktionen) liegt die Anzahl der Schienen zwischen und 50, in Einzelfällen sogar darüber hinaus“, erklärt der Münchner Zahnarzt Dr Mark Thomas Sebastian, der das InvisalignSystem schon seit über 10 Jahren in seiner. Dann wechseln Sie zur nächsten Schiene aus Ihrem Set Einen besonderen Tragekomfort Wenn Sie alle Aligner Ihres Sets getragen haben, haben Sie das gewünschte Behandlungsziel erreicht Die Dauer der Behandlung liegt je nach Grad der Zahnfehlstellung zwischen ca 9 und 15 Monaten Invisalign bietet Ihnen dabei einen besonderen Tragekomfort.
Invisalign ist ein Kunstwort, das sich aus den beiden englischen Wortstämmen invisible (unsichtbar) und align (ausrichten) zusammensetzt Genau darum geht es, denn Invisalign ist eine kieferorthopädische Behandlungsmethode, bei der herausnehmbare, durchsichtige, semielastische PolyurethanSchienen (Aligner) die Zähne begradigen. Bei leichteren Fehlstellungen sind es etwa 10 bis Aligner, bei komplexeren Zahnbewegungen (zum Beispiel nach Zahnextraktionen) liegt die Anzahl der Schienen zwischen und 50, in Einzelfällen sogar darüber hinaus“, erklärt der Münchner Zahnarzt Dr Mark Thomas Sebastian, der das InvisalignSystem schon seit über 10 Jahren in seiner. Das System basiert auf der sogenannten AlignerMethode, einer individuell auf den Kiefer angefertigten, durchsichtigen KunststoffZahnschiene Nachdem ein Facharzt die Diagnose gestellt hat wird die Schiene mittels einer 3DSoftware maßgeschneidert angefertigt Die Aligner werden in periodischen Abständen getauscht, so dass der deformierte Kiefer nach und nach.
Invisalign, iStraight, Harmonieschiene oder Clear Aligner sind nur einige Beispiel für die Vielzahl von Produkten, die auf dem Markt sind Das InvisalignSystem war eine der ersten Methoden auf dem Markt und ist gerade durch den großen Erfolg in den USA für viele Folgeprodukte ein Richtwert Wir empfehlen unsere Zahnkorrekturschiene im DentNet. Hallo zusammen, ich trag seit gestern auch eine Invisalign Zahnschiene und möchte euch gerne von meinen ersten Erfahrungen berichten Toll dass es hie Erfahrungen mit Invisalign Seite 704. Invisalign hat die Art und Weise verändert, wie Menschen etwas in ihrem Leben bewegen Invisalign System in unserer Praxis bereits erfolgreich behandelten Patienten, sind wir in der Lage, auch umfangreiche Zahn und Kieferfehlstellungen schnell und effizient zu korrigieren Erfahren Sie mehr über unsere transparente Zahnschiene.
Wie bei anderen kieferorthopädischen Behandlungsverfahren hängen die Kosten auch bei der Invisalign Behandlung von der Komplexität Ihres Falles zur Zahnbegradigung und vom Verlauf der Behandlung ab Im Allgemeinen sind die Kosten für Erwachsene mit traditionellen festen Zahnspangen vergleichbar und liegen für gewöhnlich zwischen € 3500 und € 6500. Ich bekomme demnächst eine Zahnspange und ich hab die Auswahl zwischen Invisalign (hab einen Überbiss 5,8 und Lücken) Kosten würden beide gleich viel (da ich schon volljährig bin über nimmt es bei meinem Fall keine Krankenkasse) Die Behandlungsdauer ist bei beiden auch gleich lang läuft Kostenvoranschlag(12 Quartale). Die Abstände zwischen den Schienenwechseln sind dabei von Patient zu Patient unterschiedlich und hängen sowohl von der jeweiligen Zahnsituation als auch vom gewünschten Korrekturmaß ab In jedem Fall sollten die unsichtbaren KorrekturSchienen 24 Stunden am getragen werden.
Bei einem Engstand kann ein einziger Zahn zur Herausforderung werden wenn die Drehung bei Backenzähnen mehr als Grad beträgt, ist das Problem zu schwerwiegend für Invisalign Wenn Eckzähne, Prämolaren und Schneidezähne zu schief liegen, ist Invisalign wahrscheinlich nicht die richtige Behandlungsform. Invisalign, iStraight, Harmonieschiene oder Clear Aligner sind nur einige Beispiel für die Vielzahl von Produkten, die auf dem Markt sind Das InvisalignSystem war eine der ersten Methoden auf dem Markt und ist gerade durch den großen Erfolg in den USA für viele Folgeprodukte ein Richtwert Wir empfehlen unsere Zahnkorrekturschiene im DentNet. Invisalign® für Erwachsene Nach einer ausführlichen Befunderhebung durch den Kieferorthopäden werden Abdrücke des Gebisses angefertigt, die als Grundlage für ein digitales Zahnmodell dienen Mit einer speziellen Software der Firma Align Technology, Inc werden die Behandlungsschritte in Absprache mit dem Kieferorthopäden vom IstZustand bis zur Zahnkorrektur berechnet.
Wie teuer eine Behandlung mit Invisalign Schiene ist, hängt von Art und Schwere der Fehlstellung ab Die Invisalign Kosten, inklusive 3DScan des Mundinnenraums und patientenspezifischer Herstellung der Zahnschienen, betragen in der Regel zwischen 00 und 4000 €. Dabei führen Bakterien im Spalt zwischen Zahn und Kieferknochen zu einem Abbau der für die Verankerung des Zahnes zuständigen Fasern – es bilden sich die sogenannten Zahnfleischtaschen Unbehandelt werden diese im Laufe des Lebens immer tiefer und können letztlich zu Zahnlockerungen und Zahnverlust führen. Ich hab oben links und rechts auf den 2, und 3 ern jeweils eines und unten auch fast auf jedem Zahn ihm Frontbereich Störend find ich am meisten den rechts oben außen Dieses Attachment steht total weg Es ist auch natürlich total unangenehm beim Essen, weil ich dauern denke, es hat sich was zwischen den Zähnen verfangen.
Bei leichteren Fehlstellungen sind es etwa 10 bis Aligner, bei komplexeren Zahnbewegungen (zum Beispiel nach Zahnextraktionen) liegt die Anzahl der Schienen zwischen und 50, in Einzelfällen sogar darüber hinaus“, erklärt der Münchner Zahnarzt Dr Mark Thomas Sebastian, der das InvisalignSystem schon seit über 10 Jahren in seiner. Align Technology ( Invisalign ) steckt jedes Jahr Millionen in Forschung Eine Invisalign Schiene übt nur eine gewisse / gesunde Menge an Druck auf deinen Zahn aus und bewegt ihn in die gewünschte Position ohne dem Zahn zu schaden Außerdem bringt die Behandlung mit der Invisalign Schiene viele Vorteile mit sich. Die Abstände zwischen den Schienenwechseln sind dabei von Patient zu Patient unterschiedlich und hängen sowohl von der jeweiligen Zahnsituation als auch vom gewünschten Korrekturmaß ab In jedem Fall sollten die unsichtbaren KorrekturSchienen 24 Stunden am getragen werden.
Invisalign® für Erwachsene Nach einer ausführlichen Befunderhebung durch den Kieferorthopäden werden Abdrücke des Gebisses angefertigt, die als Grundlage für ein digitales Zahnmodell dienen Mit einer speziellen Software der Firma Align Technology, Inc werden die Behandlungsschritte in Absprache mit dem Kieferorthopäden vom IstZustand bis zur Zahnkorrektur berechnet. Bei einem Engstand kann ein einziger Zahn zur Herausforderung werden wenn die Drehung bei Backenzähnen mehr als Grad beträgt, ist das Problem zu schwerwiegend für Invisalign Wenn Eckzähne, Prämolaren und Schneidezähne zu schief liegen, ist Invisalign wahrscheinlich nicht die richtige Behandlungsform. Es gibt also eine bestimmte Reihenfolge der Schienen Jede wird zwischen 7 und 14 en getragen und bringt ein Verbesserung, die die jeweils nächste Schiene fortführt Die Technik ist äußerst erprobt und bewährt Auch für komplexe und anspruchsvolle Behandlungen.
Invisalign selbst sagt Zwischen und 24 Stunden pro ist in Ordnung Ich habe beschlossen, 21 Stunden anzupeilen Denn manchmal möchte man abends auch einen Film gucken und dabei was knabbern, und nicht nach jeder Erdnuss aufstehen, um sich die Zähne zu putzen und die Schiene wieder einzusetzen. Er meint, dass ich durch starkes Beißen in der Nacht den Zahn stark belastet habe und dadurch Ödeme entstanden sind die erst heilen müssen Ich bin 61 Jahre alt, habe einen sehr herausfordernden Beruf Mich interessiert der Zusammenhang zwischen Zahn und Organ bzw auch der Psyche. Die InvisalignSchiene ist im Rahmen der Kieferorthopädie eine fast unsichtbare Schiene (auch Aligner) und eine Alternative zu einer klassischen ZahnspangeDiese herausnehmbare Schiene ist auf den Zähnen fast nicht zu sehen Eine Behandlung mit einer InvisalignSchiene dauert im Durchschnitt etwa sechs bis 18 Monate, abhängig vom Aufwand der Behandlung.
Dann hilft eine Zahnkorrektur mit Invisalign® Schienen, So bewegen sich Ihre Zähne Schiene für Schiene in die gewünschte Endposition In unserer Fachpraxis für Kieferorthopädie in Kressbronn kommt das klinisch bewährte Invisalign®System zum Einsatz Hier kann die Preisspanne zwischen 3500 und 6500 Euro betragen. Je nach Hersteller können die Kosten zwischen 3000 und 6000 Euro variieren. Wie bei anderen kieferorthopädischen Behandlungsverfahren hängen die Kosten auch bei der Invisalign Behandlung von der Komplexität Ihres Falles zur Zahnbegradigung und vom Verlauf der Behandlung ab Im Allgemeinen sind die Kosten für Erwachsene mit traditionellen festen Zahnspangen vergleichbar und liegen für gewöhnlich zwischen € 3500 und € 6500.
Für Kinder ab 6 Jahren gibt es seit Juli 18 das Invisalign© First System Diese Zahnspange ist dazu geschaffen worden, Zahn und Kieferfehlstellungen (zB Kreuzbiss, Rückbiss, Vorbiss), die einen negativen Einfluss auf die weitere Gebissentwicklung oder sogar auf das Gesicht haben können, frühzeitig, sanft und schmerzlos zu beseitigen. Vorteile von Invisalign Die Behandlung mit Invisalign zählt zu den beliebtesten Arten der Zahnfehlstellungskorrektur Im Vergleich zu einer herkömmlichen Zahnspange bietet Invisalign viele Vorzüge, die vor allem von erwachsenen Patienten geschätzt werden, aber auch für Kinder und Jugendliche geeignet sind. Klassische Spangen werden überwiegend zwischen 12 und 16 Jahren getragen, wer sich später zur Korrektur entschließt, muss lernen, mit der Schiene und den Kommentaren im Freundeskreis umzugehen Invisalign – die unsichtbare Zahnspange – erleichtert diese Tragephase enorm.
Gewöhnlich liegt der Preis einer InvisalignBehandlung zwischen 3500 und 6500 Euro, wobei die Abweichungen nach oben und unten vom Grad der Zahnfehlstellung abhängig sind Im Vergleich zu den sichtbaren klassischen Korrekturmethoden ist Invisalign damit sogar oft die günstigere Variante. Die unsichtbaren transparenten Schienen passen sich perfekt an Dein Leben an Du kannst mit diesen normal Sprechen und nimmst diese nur zum Essen und zum Zähneputzen heraus Die Behandlung dauert in der Regel zwischen 3 und 6 Monate und verhilft Dir Schritt für Schritt, Schiene für Schiene zu Deinem neuen Lachendamit Dein Lächeln bewegt!. Die Invisalign Kosten für eine Kurzzeitbehandlung liegen zwischen 1850 Euro und 2500 Euro (Invisalign i7) mit dieser können kleinere Zahnfehlstellungen korrigiert werden Die nächste Stufe ist die Invisalign Lite Behandlung, für die üblicherweise zwischen 3000 Euro und 4000 Euro fällig werden ;.
InvisalignErfahrungen aus der Praxis Wir haben in diesem Artikel Erfahrungswerte von Invisalignträgern zusammengefasst und möchten die allgemeinen Eindrücke, sowie die Vor und Nachteile der Behandlung aufgreifen Die Patienten benötigen in erster Linie die Disziplin die Schiene tatsächlich jeden für 22 Stunden im Mund zu haben und sie nicht zu vergessen. Zum Essen soll die unsichtbare Schiene herausgenommen werden Da man die Schienen kaum sieht und mit ihnen gut sprechen kann, wird das permanente Tragen nicht als unangenehm gesehen Wie viel kostet eine kieferorthopädische Behandlung mit unsichtbaren Schienen?. Es macht auch überhaupt keinen Sinn, da die Zähne pro Schiene nur Bruchteile von mm bewegt werden, da braucht der Zahn keine 2mm "Luft" Und natürlich sind Schienen auch mal fehlerhaft Sie stammen aus serieller Massenproduktion, da kann nicht auf Punkt und Beistrich alles qualitativ abgesichert werden.
Ich hab oben links und rechts auf den 2, und 3 ern jeweils eines und unten auch fast auf jedem Zahn ihm Frontbereich Störend find ich am meisten den rechts oben außen Dieses Attachment steht total weg Es ist auch natürlich total unangenehm beim Essen, weil ich dauern denke, es hat sich was zwischen den Zähnen verfangen. Invisalign bei Parodontose ZahnschmelzReduktion auch ASR oder Stripping genannt gibt den Zähne ihre ursprüngliche Form und ermöglicht eine Zahnspangenbehandlung ohne Zähne ziehen zu müssen Diese Odontoplastik kann auch Schmelzflecken beseitigen und die Zähne sehen schöner ausASR heisst auch approximale Schmelzreduktion, Reproximation, approximales Polishing, Slicen, Strippen. Es ist also denkbar einfach sich auszumalen, wie sehr die Zahngesundheit unter Speiseresten, die zwischen den Zähnen stecken, leiden würde 3 Man sollte realistische Erwartungen haben Nur weil die Invisalign Zahnspange eine Alternative zur normalen Zahnspange darstellt, bedeutet das nicht, dass sie Wunder bewirken kann.
Zum Essen soll die unsichtbare Schiene herausgenommen werden Da man die Schienen kaum sieht und mit ihnen gut sprechen kann, wird das permanente Tragen nicht als unangenehm gesehen Wie viel kostet eine kieferorthopädische Behandlung mit unsichtbaren Schienen?. Invisalign Go aus der Zahnarztpraxis Hannover Der kurze und sichere Weg zu schönen und geraden Zähnen mit der Invisalign Schiene Invisalign Go In 6 Monaten zu geraden Zähnen Geht es darum, leichte Fehlstellungen der Zähne bei Erwachsenen zu korrigieren, können die Zahnärzte in der PODBI344 helfen Mit unsichtbaren Schienen, die Ihnen in. Je nach Hersteller können die Kosten zwischen 3000 und 6000 Euro variieren.
Klassische Spangen werden überwiegend zwischen 12 und 16 Jahren getragen, wer sich später zur Korrektur entschließt, muss lernen, mit der Schiene und den Kommentaren im Freundeskreis umzugehen Invisalign – die unsichtbare Zahnspange – erleichtert diese Tragephase enorm. Invisalign – darunter versteht man eine nahezu unsichtbare Behandlungsmethode aus den USA mit transparenten Schienen Es handelt sich um eine herausnehmbare Apparatur, mit der man ohne Einschränkungen essen und trinken kann, als auch ohne jegliche Beeinträchtigung seine Zähne pflegen kannSie stellt speziell für vielbeschäftigte, berufstätige Patienten eine komfortable Alternative dar. Die InvisalignSchiene ist im Rahmen der Kieferorthopädie eine fast unsichtbare Schiene (auch Aligner) und eine Alternative zu einer klassischen ZahnspangeDiese herausnehmbare Schiene ist auf den Zähnen fast nicht zu sehen Eine Behandlung mit einer InvisalignSchiene dauert im Durchschnitt etwa sechs bis 18 Monate, abhängig vom Aufwand der Behandlung.
Es macht auch überhaupt keinen Sinn, da die Zähne pro Schiene nur Bruchteile von mm bewegt werden, da braucht der Zahn keine 2mm "Luft" Und natürlich sind Schienen auch mal fehlerhaft Sie stammen aus serieller Massenproduktion, da kann nicht auf Punkt und Beistrich alles qualitativ abgesichert werden. Invisalign bringt Ihre Zähne Schiene für Schiene in die richtige Position Dank jahrelanger Forschung und Entwicklung kann Invisalign™ heute nahezu bei jeder Art der Zahnfehlstellungen erfolgreich eingesetzt werden Bitte beachten Sie, dass eine Behandlung in jedem Fall eine gründliche kieferorthopädische Diagnostik erfordert. Invisalign bringt Ihre Zähne Schiene für Schiene in die richtige Position Dank jahrelanger Forschung und Entwicklung kann Invisalign™ heute nahezu bei jeder Art der Zahnfehlstellungen erfolgreich eingesetzt werden Bitte beachten Sie, dass eine Behandlung in jedem Fall eine gründliche kieferorthopädische Diagnostik erfordert.
Author Topic invisalign und co (Read 5776 times) Lea Guest ist doch immer etwas Speichel zwischen den Zähnen und der Schiene und auch (kleine) Ablagerungen kommen dann nicht an die Luft, sondern werden unter der Schiene konserviert, um nicht zu sagen kultiviert Ich habe da noch nie ein gutes Gefühl gehabt. Align Technology ( Invisalign ) steckt jedes Jahr Millionen in Forschung Eine Invisalign Schiene übt nur eine gewisse / gesunde Menge an Druck auf deinen Zahn aus und bewegt ihn in die gewünschte Position ohne dem Zahn zu schaden Außerdem bringt die Behandlung mit der Invisalign Schiene viele Vorteile mit sich.
Invisalign Unsichtbare Zahnspange Praxis Illner
Erfahrungen Mit Invisalign 17
Transparente Schienen Invisalign Dr Von Nell Kollegen
Invisalign Luft Zwischen Schiene Und Zahn のギャラリー
Invisalign Unsichtbare Schienen Fur Gerade Zahne
8fcsbuak3ynd1m
Invisalign In Ihrer Zahnarztpraxis Koln Zahnarztpraxis Bahlmann Koln
Ihre Kieferorthopadin In Wien Dr Birgit Henn Schmidgruber
Invisalign Go Durchsichtige Zahnspange Fur Gerade Zahne
Invisalign Die Herausnehmbare Aligner Zahnspange
Diastema Zahnlucke Schneidezahne Schliessen Lassen Praxisklinik Herne
Fachzahnarzte Fur Kieferorthopadie Moers
Plus Dental Kosten Erfahrungen Sowie Alternativen
Invisalign Zahnspange Meine Erfahrungen Vorher Nachher
Invisalign Unsichtbare Zahnspange Praxis Illner
Invisalign Clear Aligner Essix In Munchen
Invisalign Aligner Schienen Fast Unsichtbare Herausnehmbare Zahnspangen
Dentanova Invisalign Gerade Zahne Auch Fur Erwachsene
Korrektur Mit Transparenten Schienen Invisalign Setzt Immer Wieder Neue Massstabe
Invisalign Aligner Transparente Zahnschienen In Der Zpk Herne
Kosten Invisalign C Zahnspange Was Kostet Eine Invisalign C Zahnspange
Invisalign Fakt Oder Fiktion Haufige Behauptungen Auf Dem Prufstand Unsichtbare Zahnspange Wien
Erfahrungsbericht Kieferorthopadie Als Erwachsener
Zahnarztpraxis Maria Guttler Gerade Zahne Mit Invisalign
Fachzahnarzte Fur Kieferorthopadie Moers
Schonerlachen Invisalign
Inivsalign Behandlung Checkliste Apdental
Invisalign Zahnspange Meine Erfahrungen Vorher Nachher
Ihr Invisalign Spezialist In Lippstadt Dr Bianca Mertens
Alignertherapie Nicht Nur Fur Einfache Falle Zwp Online Das Nachrichtenportal Fur Die Dentalbranche
Endlich Gerade Zahne Mit Der Unsichtbaren Zahnspange Von Invisalign
Behandlungsmethoden Kieferorthopadie In Sinsheim Zahnspangen Und Lingualtechnik
Zahnbegradigung Mit Durchsichtigen Schienen Die Vor Nachteile Der Invisalign Therapie Fiv Magazin
Invisalign Zahnspange Meine Erfahrungen Vorher Nachher
Kieferorthopadie Dr Med Dent M Sc M Sc Martin Jaroch
Invisalign Wien Ddr Robert Viden
Invisalign Kieferorthopadische Praxis Dr Nina Heinig
Inivsalign Behandlung Checkliste Apdental
Invisalign Zahnspange Meine Erfahrungen Vorher Nachher
Unsichtbare Zahnspange In Osterreich Infos Kosten Ablauf Dauer
Niveus Dental Estetic Center Invisalign Niveus Dental Estetic Center
Invisalign Munchen Gerade Zahne Ohne Feste Spange
Invisalign Unsichtbare Zahnspange Praxis Illner
Invisalign Wien Was Kostet Die Unsichtbare Zahnspange
Invisalign Berlin Charlottenburg Unsichtbare Zahnspange
Abc Der Kieferorthopadie Lippstadt Dr Bianca Mertens
Invisalign
Invisalign Zahnarzt Frankfurt A M Nahe Nordend Sachsenhausen
Invisalign Zahnschienen Aligner Kieferorthopadie Munchen
Invisalign Zahnspange Meine Erfahrungen Vorher Nachher
Kieferorthopadie In Berlin Reinickendorf Fur Gerade Zahne
Behandlungsablauf Bei Einer Invisalign C Zahnspange In Osterreich
Kieferorthopaden In Adent Zahnkliniken Fur Kinder Und Erwachsene
Invisalign Zahnspange Meine Erfahrungen Vorher Nachher
Invisalign Unsichtbare Zahnspangen Dr Wiens Kollegen
Invisalign In Berlin Individuelle Beratung Gratis 3d Scan
Unsichtbare Zahnspange Berlin Spandau Invisalign Go
Invisalign Unsichtbare Zahnspangen Dr Wiens Kollegen
Invisalign Zahnspange In Augsburg Unsichtbare Zahnschienen
Invisalign Zahnspange Meine Erfahrungen Vorher Nachher
Ich Habe Meine Invisalign Schienen Nicht Genug Getragen Ilovemysmile
Invisalign Die Unsichtbare Zahnspange Dr Madsen
Invisalign Erfahrungen Echte Vorher Nachher Bilder
Kieferorthopadie In Delligsen Nahe Alfeld Gerade Und Schone Zahne
Invisalign Munchen Gerade Zahne Ohne Feste Spange
Invisalign Was Ist Das Die Unsichtbare Spange Eine Klare Sache Unsichtbare Zahnspange Zahnarzt Berlin
Alignertherapie Nicht Nur Fur Einfache Falle Zwp Online Das Nachrichtenportal Fur Die Dentalbranche
Invisalign Kfo Klatt
Invisalign Unsichtbare Zahnspange Praxis Illner
Www Adentics De Images Downloads Aentics Allgemeine Hinweise Schienentherapie Pdf
Invisalign Die Welt Mit Einem Strahlenden Lacheln Erobern Klinikerfahrungen De
Invisalign Bern Moderne Zahnarztpraxis Fur Ihre Zahnschiene
Invisalign Aligner Faq Unsichtbare Zahnspange Zahnarzt Berlin
Invisalign Zahnspange Meine Erfahrungen Vorher Nachher
Aligner Therapie Die Unsichtbare Zahnschiene Alle Infos
Www Adentics De Images Downloads Aentics Allgemeine Hinweise Schienentherapie Pdf
Schone Zahne Mit Invisalign Go Invisalign Schiene Hannover
Dupaufrfw2 Gem
Vorteile Nachteile Von Invisalign C Zahnspangensuche At
Erfahrungen Mit Invisalign 17
Zahnkorrektur
Invisalign Um Schiefe Zahne Zu Richten
Unsichtbare Zahnschiene Invisalign Bei Blue Ortho Koln
Niveus Dental Estetic Center Invisalign Niveus Dental Estetic Center
Invisalign Zahnspange Meine Erfahrungen Vorher Nachher
Invisalign Zahnspange Was Der Zahnarzt Dir Nicht Sagt Tipps Youtube
Moderne Zahnmedizin Und Implantologie Invisalign Behandlung Zahnarztpraxis Dr Helmut Galster Munchen Schwabing
Invisalign Erfahrungen Echte Vorher Nachher Bilder
Invisalign Die Wichtigsten Top Tipps Auf Einen Blick Ilovemysmile
Invisalign Kosten Unsichtbare Zahnspange Kfo Dr Dorfer
Invisalign Die Wichtigsten Top Tipps Auf Einen Blick Ilovemysmile
Inivsalign Behandlung Checkliste Apdental
Invisalign Kieferorthopade Munchen
Invisalign Zahnarztpraxis Dr Elena Heinemann
Niveus Dental Estetic Center Invisalign Niveus Dental Estetic Center
Invisalign Schienen
Invisalign Zahnarzt Sankt Augustin
Invisalign Die Nahezu Unsichtbare Zahnspange Zur Regulation Von Kieferfehlstellungen
Invisalign Marit Jordan Kieferorthopadie Im Hafen
Invisalign Zahnspange Dr Grammatidis Partner In Kirchheim Teck
Invisalign Zahnspange Meine Erfahrungen Vorher Nachher


